BXL-V80
The BXL-V80 is a rugged, waterproof (IPX7) multi-species Doppler color ultrasound system designed for cattle, sheep, horses, pigs, camels, pets, and wildlife. It offers 64 channels, ≥7 hours battery life, multiple modes (B, M, CF, PW, PDI, DPDI, puncture enhancement), and up to 60 fps imaging. With 128-element probes (upgradeable to 192), advanced obstetric software for 50+ animal types, AI recognition, GPS option, and wireless display via Android/Windows, it ensures precise measurements down to 0.01 cm. Supports real-time storage, body markers, and smart backfat/eye muscle analysis.
Specifications
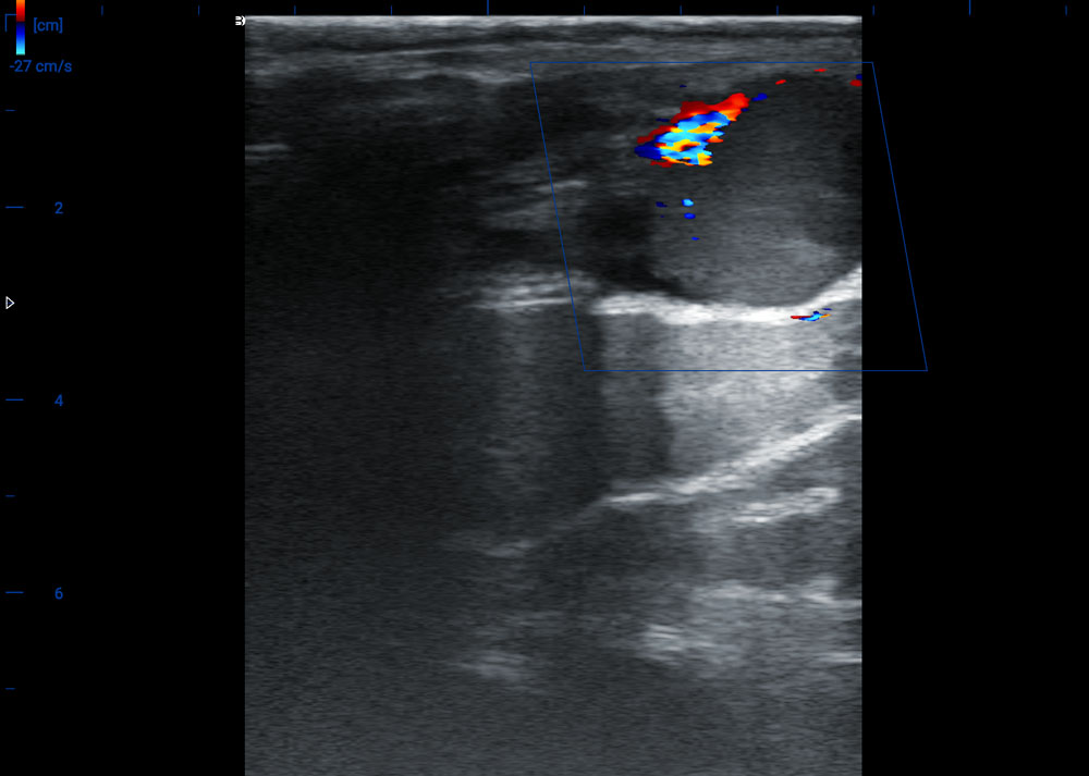
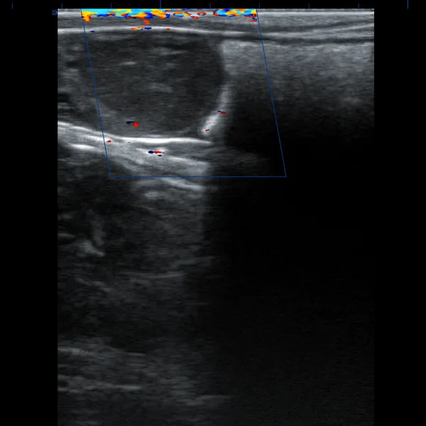
Luteal Blood Flow Mapping
• High-frame-rate color flow mapping demonstrates robust perfusion within luteal tissue.
• Spectral Doppler confirms -27cm/s peak venous flow characteristic of active corpus luteum.
• Real-time motion compensation maintains clarity during visceral movement.
• Advanced noise reduction ensures accurate hemodynamic assessment in farm settings.
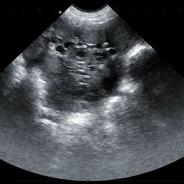
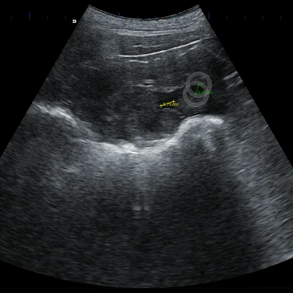
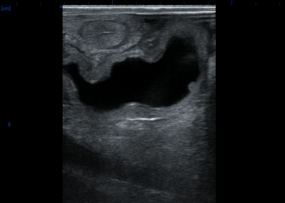
Uterine Morphology Assessment
• High-contrast resolution clearly delineates endometrial and myometrial layers.
• Real-time imaging captures subtle tissue perfusion with dynamic range optimization.
• Precise millimeter-scale measurement of uterine horn diameter and wall thickness.
• Adaptive gain compensation maintains structural clarity during deep tissue imaging.
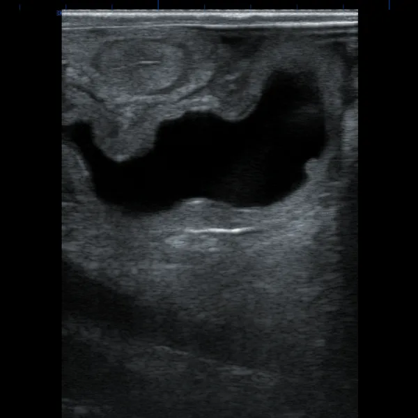
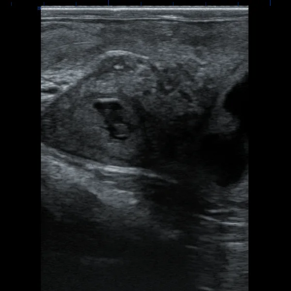
Early Gestational Sac Evaluation
• High-resolution grayscale imaging reveals distinct embryonic fluid-filled structure.
• Real-time tissue harmonic imaging enhances border delineation of uterine layers.
• Precision caliper measurements confirm gestational sac dimensions with 0.1mm accuracy.
• Dynamic range optimization maintains structural clarity in deep pelvic imaging.
BXL-V80 Rectal Probe Ultrasound Image of Twin Pregnancy in Cattle
BXL-V80 Real Test Imaging
Demo
-
Large convex probe measuring pig follicles
-
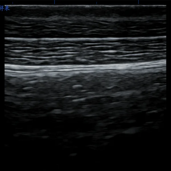
High-frequency linear array for measuring pig backfat
-
Large convex probe measuring pig backfat
-
Large convex probe measuring pig follicle diameter
-
Rectal probe measuring cow corpus luteum
-
Rectal probe examination of the corpus luteum in cattle
-
Rectal probe examining the uterus of a cow
Optional Probes
-
BXL-V80
BXL-V80 Ultra HD High-Element Portable Veterinary Color Ultrasound Scanner...
View More >
-
BXL-S300
BXL-S300 Wireless HD Color Ultrasound for Cattle and Horse Rectal Exams, No Startup Delay...
View More >
-
BXL-DB20
BXL-DB20 Veterinary OPU Eye Muscle Measurement Multifunctional Doppler Ultrasound...
View More >
-
BXL-DZ20
BXL-DZ20 Doppler Multifunctional Ultrasound Diagnostic System...
View More >


